Skip Menu
Continue

88 New Britain Avenue, Rocky Hill, CT 06067
(860) 756-5423
  • Home
  • Our Office
    • Rocky Hill Office
  • About Us
    • New Patients
    • Our Team
    • Smile Gallery
    • Specials
    • Dental Videos
    • Testimonials
  • Our Doctors
    • Joseph S. Ciarcia, D.M.D.
    • Dominic L. Fusco III, D.M.D.
  • Services
      • Crowns & Caps
      • Dental Bridges
      • Dental Cleanings
      • Dental Fillings
      • Dentures
      • Digital Radiography
      • Extractions
      • Implant Dentistry
      • Invisalign®
      • Oral Exams
      • Pediatric Dentistry
      • Periodontal Treatment
      • Preventive Program
      • Root Canals
      • Veneers
      • Zoom!® Whitening
    • View All
  • Dental Health
  • Contact Us
  • Pay Online
  • Request Appointment

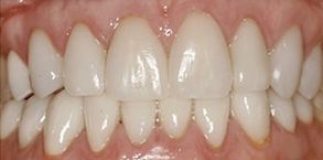
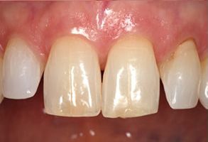
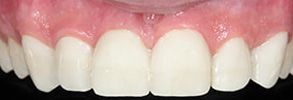
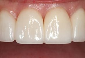
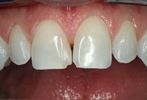
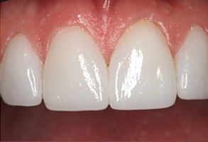
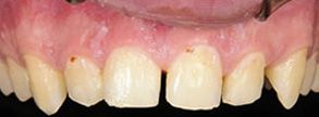
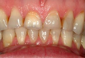
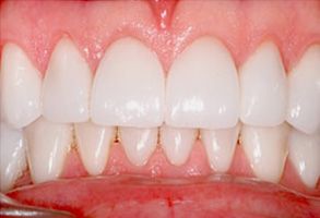
Smile Gallery